
Endodontic Microsurgery
October 29, 2025
Complex Endodontic Management
November 26, 2025Tooth wear Management

Background
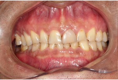
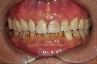
Mr NK, a 52-year-old male, presented with concerns of gradually shortening teeth and sensitivity to cold drinks. He also reported feeling self-conscious about his smile in photos. He is medically fit and has been using a night guard for his sleep-related grinding habit for the past year. Clinical examination revealed moderately worn dentition from erosion and attrition, along with mild crowding of the lower anterior incisors.
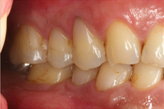
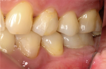
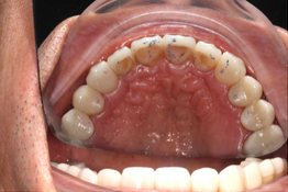
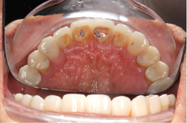
Intra-Oral Pictures (Before)

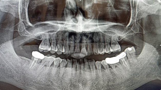
Panaromic Radiograph
- Bruxism (Teeth grinding during sleep)
- Diet (acidic drinks)
- Toothbrushing right after acid exposure
- Erosion severity: ACE Class Class III
- Reduced occlusal vertical dimension
- Mild crowding of lower anterior teeth
Our goal was to restore his smile as conservatively as possible, in line with his request to avoid full-crown preparations unless absolutely necessary. To achieve this, we planned a combination of veneers, veneerlays, and onlays, along with limited orthodontic intervention.
Key considerations:- Conservation of tooth structure: Partial orthodontic treatment was proposed to relieve anterior crowding, thereby reducing the amount of tooth reduction required.
- Prevention of further erosion: Patient was advised on dietary modifications, including avoiding acidic drinks and eliminating the habit of swishing beverages.
- Occlusal vertical dimension (OVD): Raised using posterior and anterior composite onlays.
- Partial orthodontics: Completed within 8 months to relieve crowding in the lower anterior segment.
- Digital Smile Design with Face Scan
- Restorative treatment (carried out in stages):
Porcelain onlays: 16, 15, 26, 25
Porcelain veneerlays: 14, 24, 36, 35, 34, 44, 45, 46
Porcelain crowns: 13, 23
Porcelain veneers: 12, 11, 21, 22, 33, 32, 31, 41, 42, 43
Provisionals
Provisionals
- Retention and protection:
Prescription of both upper and lower Essix retainers, serving as orthodontic retainers and providing protection against bruxism-related wear.
-
Management of Occlusion:
- Canine guidance was established on lateral excursions — an important consideration in patients with bruxism.
- Anterior guidance was carefully adjusted to avoid occlusal contact on the incisal porcelain during protrusive movements. This minimizes strain on the veneer–adhesive interface, thereby reducing the risk of veneer cracking or debonding.
- Shim stock contacts: Hold contact maintained on posterior teeth. Pull contact achieved on anterior teeth in maximum intercuspation.
Adjustment of occlusal contacts(shown with blue articulating marks) during anterior protrusion
Before Adjustment
After Adjustment

















